
Ever wondered what's really going on behind those perfect smiles you see? We're talking about dental veneers, of course. While the end result is often stunning, there's a whole process that happens to your natural teeth to make it all possible. It’s not just a simple add-on; it involves preparing your teeth, and understanding that preparation is key to knowing what teeth look like under veneers. Let's pull back the curtain and see what's really happening beneath the surface.
So, you're thinking about veneers, huh? It's easy to get caught up in the dazzling 'after' photos, but what's really going on with your natural teeth before they get their fancy new coverings? It’s not quite as simple as just sticking something on. There's a whole process involved, and understanding it is key to knowing what you're getting into.
Before those beautiful porcelain shells can be bonded, your dentist needs to prep your teeth. Think of it like getting a wall ready for new wallpaper. You wouldn't just slap it on over peeling paint, right? Same idea here. The dentist carefully removes a thin layer of enamel from the front of your teeth. This isn't about grinding your teeth down to nubs; it's a precise adjustment. The amount removed is usually pretty small, often less than a millimeter. This step is all about making sure the veneer will fit perfectly and look natural, not bulky.
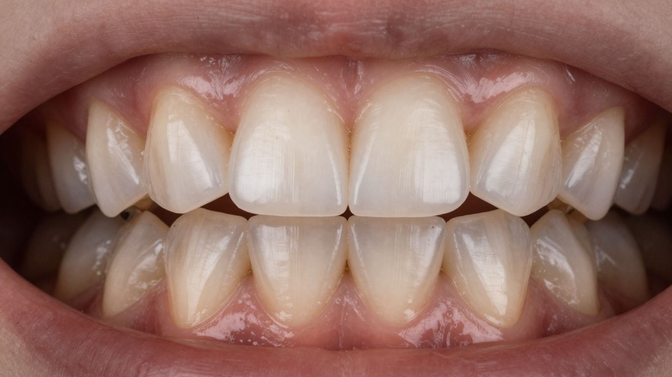
After the enamel is removed, your teeth will look a bit different. They'll appear smaller, and the smooth, natural curves you're used to will be gone. Instead, you'll see a more uniform, sculpted surface. The color might also change. Since you're seeing more of the underlying dentin, which is naturally yellower than enamel, your prepared teeth might look a bit more yellow or even have a matte appearance compared to their original state. It’s like preparing a canvas before painting – you’re creating the ideal base.
Ultimately, this preparation creates a solid foundation. Your teeth are reshaped to provide the best possible surface for the veneers to bond to. This isn't just about looks; it's about making sure your new smile is stable and lasts. The goal is to have your natural teeth work perfectly with their new porcelain coverings, giving you that confident, bright smile you've been wanting. It’s a significant step, and knowing what happens during veneer preparation helps you appreciate the whole process.
So, you're thinking about veneers, and you've seen all the shiny 'after' pictures. But what's really going on underneath those perfect shells? It's not always what the marketing makes it seem. The truth is, getting veneers usually means your natural teeth are permanently changed.
When you get traditional veneers, dentists often have to shave down your natural tooth enamel. This isn't just a light buffing; it's a significant removal of the protective outer layer. Think of it like sanding down a piece of wood before you paint it. The amount removed can vary, but it's enough to alter the tooth's original shape and size. Sometimes, teeth can end up looking like small pegs or stubs after this process. This is why getting veneers is a big decision – you can't go back to how your teeth were before.
Once that enamel is gone, your teeth are more vulnerable. Enamel is the hardest substance in your body and it protects your teeth from sensitivity and decay. Without it, teeth can become more sensitive to hot and cold, and they're just not as strong. It's like removing the armor from a knight; they're still there, but they're much more exposed to damage. This is a big reason why many dentists recommend dental veneers for people who already have some issues with their teeth, rather than for purely cosmetic reasons on perfectly healthy ones.
Because your natural teeth have been altered and weakened, they often can't function normally without the veneers. They become dependent on the shells for protection and strength. This means that if a veneer ever chips, cracks, or falls off, you'll likely need a replacement quickly to protect the underlying tooth. It creates a situation where you're committed to having veneers for the long haul. The idea of a "smile makeover" often involves a commitment that goes beyond just the initial placement, and it's good to know the full picture before you start. You can see some examples of transformative dental veneers and understand the commitment involved.
So, why all the fuss about shaping your teeth before putting on veneers? It might seem like an extra step, but it's actually super important for making sure your new smile looks great and lasts. Think of it like prepping a wall before you paint it – you wouldn't just slap paint on a bumpy, dirty surface, right? Your teeth are kind of the same.
Even the slimmest veneers add a bit of bulk. If your dentist just stuck them onto your natural teeth without any prep, they'd look thick and unnatural. It's like wearing oversized shoes – they just don't fit right. The preparation process shaves off a tiny bit of your tooth's surface, usually the enamel, to make room for the veneer. This way, the veneer sits flush and looks like a natural part of your smile, not an add-on.
Getting veneers to stick properly is key. Your natural tooth enamel, while tough, isn't always the best surface for the special glue dentists use to attach veneers. By slightly etching or roughening the tooth surface during preparation, dentists create a better 'grip' for the veneer. This makes the bond stronger and helps prevent the veneer from coming loose down the road. It’s all about making sure your new smile stays put.
Preparation isn't just about making space; it's also about shaping the tooth for the best look and feel. Your dentist can adjust the angles and contours of your prepared teeth. This helps them blend better with your other teeth and creates a more balanced, harmonious smile. Without this shaping, your bite could feel off, and the veneers might not look as natural as you'd hoped. It’s a bit like a sculptor refining a piece of marble before adding the final touches. For a more in-depth look at how this process works, you can explore traditional veneers.
The reshaping allows your dentist to control the final outcome more precisely. They can adjust angles, create better proportions, and ensure that your new smile not only looks good but functions properly too.
Different types of veneers need different levels of prep. Traditional porcelain veneers usually require more shaping than some newer options, like no-prep veneers, which aim to preserve more of your natural tooth structure. The amount of preparation really depends on the type of veneer and what you're trying to achieve with your smile.
So, you're thinking about veneers, and you're curious about what actually happens to your natural teeth before those shiny new ones go on. It's not just a simple glue-and-go situation. Dentists have to do some prep work. They carefully remove a thin layer of enamel from the front of your teeth. We're talking about maybe half a millimeter to just under a millimeter, depending on the situation. This step is pretty important because it makes space for the veneer itself, so it doesn't look too bulky or unnatural sticking out. It's like prepping a wall before you paint it – you want a smooth, even surface for the best result. This preparation is key to getting that natural-looking smile you're after.
Here's the thing that often catches people off guard: once that enamel is gone, it's gone for good. You can't get it back. This means the preparation process for veneers is permanent. It's not like you can try them out and then decide to go back to your original teeth if you change your mind. The teeth are reshaped, and they'll always need something covering them, whether it's the veneers themselves or crowns later on. It’s a big decision, and knowing this upfront is really important.
Have you ever noticed how most of the marketing for veneers focuses on the amazing 'after' pictures? You see the bright, perfect smiles, but you rarely see what the teeth look like before the veneers are placed, or even during the prep stage. There's a reason for that. Showing teeth that have been filed down, even just a little, might make some people hesitate. It's a bit like seeing the raw ingredients before a fancy meal – it doesn't always look as appealing as the finished dish. Dentists and cosmetic companies tend to highlight the final, beautiful result because that's what sells the dream. But understanding the preparation is part of making an informed choice about your dental health.
Here's a quick rundown of what you can expect after the preparation:
The reality is that once the enamel is removed, your teeth are permanently altered. This is why the decision to get veneers should never be taken lightly. It's a commitment that requires careful consideration of both the aesthetic benefits and the long-term implications for your natural tooth structure.
So, what exactly are we looking at when we talk about teeth under veneers? It’s not quite the same as your natural chompers anymore. Think of it like preparing a canvas before painting. Your dentist has essentially sculpted the front surface of your teeth. This isn't just a quick buff; it's a deliberate shaping process. The goal is to create a smooth, slightly reduced surface that’s perfectly ready to receive the veneer. These prepared teeth are the foundation for your new smile, and they've been specifically altered to ensure the veneers fit and look just right.
When enamel is removed, you're exposing more of the underlying dentin. Dentin is naturally yellower than enamel. So, the prepared teeth might look a bit more yellow or even have a matte appearance compared to the original bright white of your enamel. It’s a noticeable difference, and it’s why dentists often use temporary veneers while your permanent ones are being made – to cover this altered color and texture.
Your dentist shapes your teeth for a few key reasons. It's not random grinding. They're aiming for:
The preparation process is permanent. Once enamel is removed, it doesn't grow back. This is why it's so important to be sure about getting veneers and to work with a dentist you trust. The altered tooth structure means you'll likely need some form of restoration, like new veneers or crowns, for the rest of your life once the current ones need replacing.
This careful shaping is what allows the final veneers to sit flush, look natural, and function correctly. It’s a precise architectural job, turning your natural teeth into the ideal base for your new smile.
So, you've got these beautiful veneers, and they look amazing. But what happens down the road? It's not just a one-and-done deal, you know. Think of it like this: once your natural tooth structure has been altered for veneers, it stays altered. These changes are permanent, and that means you'll always need some form of covering for those teeth.
Eventually, veneers don't last forever. They typically have a lifespan, often between ten to fifteen years, though some can last longer with good care. When they reach the end of their life, or if they get damaged, they need to be replaced. This isn't a bad thing, necessarily. It's just part of the process. When it's time for new veneers, your dentist will remove the old ones, check the prepared teeth underneath, and then fit you with new ones. Sometimes, people even choose to change the shade or shape a bit with the new set. It's a chance to refresh your smile if you want to.
Even with veneers, your natural teeth underneath still need attention. The preparation process reduces the enamel, which is your tooth's natural shield. This can sometimes lead to increased sensitivity, especially to hot or cold. Also, decay can still happen, particularly around the edges where the veneer meets the gum line. This is why keeping up with your regular dental checkups and cleanings is super important. Your dentist needs to make sure everything is sealed properly and that no issues are brewing beneath the surface. It’s a commitment to ongoing oral health.
Understanding what goes into getting veneers, and what it means for your teeth long-term, is really key. It's not just about the initial cosmetic boost. You're making a decision that affects your teeth for years to come. Knowing about the preparation, the need for potential replacement, and the importance of diligent oral hygiene helps you take the best care of your smile. It means you can enjoy your veneers for as long as possible and address any issues that might pop up promptly. Being informed means you can make better choices about your dental health and feel confident about your investment in your smile. It’s about having a healthy mouth, not just a pretty one.
The decision to get veneers is a significant one. While they offer a dramatic aesthetic improvement, it's vital to understand that the tooth preparation is irreversible. This means that your teeth will always require some form of restoration or covering to protect them from sensitivity and potential damage. Maintaining a strong relationship with your dentist and practicing excellent oral hygiene are paramount for the longevity and health of your smile.
So, what's the final word on what's happening under those shiny veneers? It's a bit of a trade-off, really. You get a fantastic-looking smile, no doubt about it. But to get there, your natural teeth do go through some changes. A bit of enamel is usually removed, making them a bit more sensitive and, well, dependent on the veneers. It's not quite like putting on a sticker; it's a more involved process. The key is to go into it with your eyes wide open, understanding that it's a permanent alteration. Talk to your dentist, ask all the questions, and make sure you're comfortable with the steps involved before you commit to that dream smile.
To make veneers fit perfectly and look natural, dentists usually have to carefully shave off a tiny bit of your tooth's outer layer, called enamel. Think of it like preparing a surface before painting it. This makes your teeth smaller and reshaped to create a smooth base for the new veneer shell.
Yes, the changes are permanent. Once the enamel is removed, it doesn't grow back. This means your teeth are altered forever, and they will need to be covered by veneers or something similar from then on.
Underneath the veneers, your teeth will look smaller and more like sculpted pegs or shortened versions of their original shape. The natural curves are gone, and the surface is prepared for bonding. The color might also look different because more of the inner tooth layer shows through.
Removing enamel can make your teeth more sensitive and a little weaker because that protective layer is gone. This is why it's really important to take good care of your teeth and gums even with veneers on.
Unfortunately, no. Since the enamel is removed permanently, you can't just take off the veneers and have your original teeth back. You'll always need some kind of covering, like veneers or crowns, to protect them.
Dentists often focus on the beautiful 'after' results because the 'before' preparation stage can look a bit drastic. Showing the filed-down teeth might make some people hesitate. It's important to understand this preparation step is necessary for the veneers to fit well and look good.